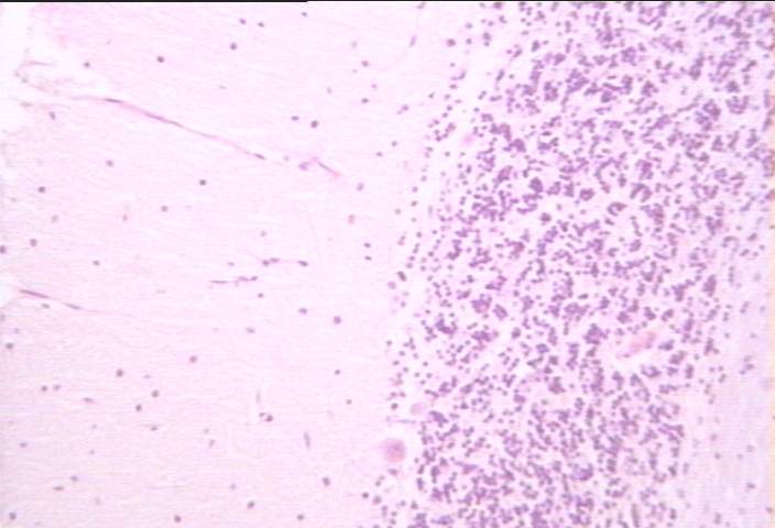
小腦皮質
分子層
柏金氏細胞層
顆粒層
小腦髓質
切片位置:小腦皮質
切片倍率:100x
染色方式:h&e stain
進一步放大(400x):
分子層
、
柏金氏細胞層
、
顆粒層
、
小腦髓質
中倍率(100x)下常規染色之小腦 (cerebellum),可見小腦皮質之分子層 (molecular layer)、柏金氏細胞層(purkinje cell layer) 與顆粒層 (granular layer) 之細胞組成與形態之差異。