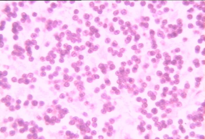
小腦皮質
顆粒層

切片位置:小腦顆粒層
切片倍率:400x
染色方式:h&e stain

 

高倍率 (400x) 下常規染色之小腦顆粒層 (granular layer),可見由多而密集且呈顆粒狀嗜鹼性染色之星狀細胞 (stellate cells) 細胞核為其特徵。