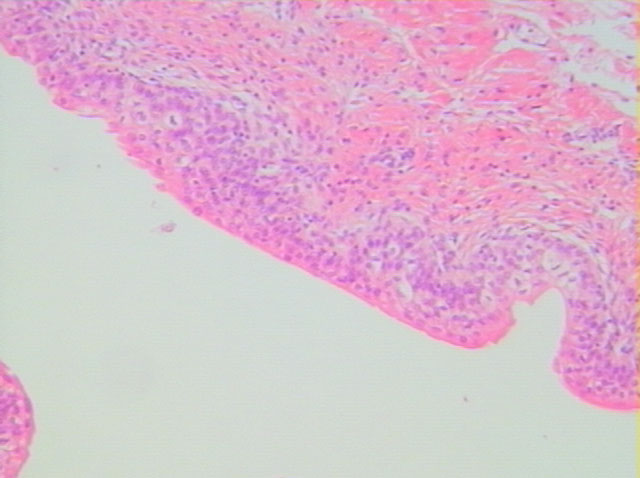
結締組織
移形上皮
膀胱空腔

切片位置:膀胱(urinary baldder)
切片倍率:100x
染色方式:h&e stain

進一步放大(400x)

進一步放大(100x)之膀胱,其內層由移形上皮所覆蓋,上皮下方為結締組織。移形上皮之細胞形態可隨所受張力之改變而改變,當張力增加時移形上皮細胞可被拉平以增加覆蓋面積,提供膀胱因應所儲存尿液容積變更而時大時小之能力。結締組織在內層緊鄰上皮部分為緻密不規則之結締組織,而較外層靠近平滑肌肌肉層部份則為疏鬆結締組織。