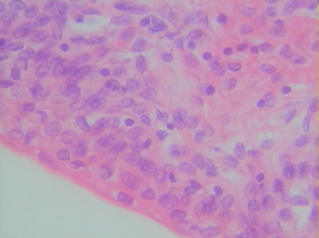
結締組織
移形上皮
膀胱空腔

切片位置:膀胱(urinary baldder)
切片倍率:400x
染色方式:h&e stain

 

高倍(400x)放大之膀胱,其內層由移形上皮所覆蓋,緊鄰上皮下方之結締組織為緻密不規則之結締組織。