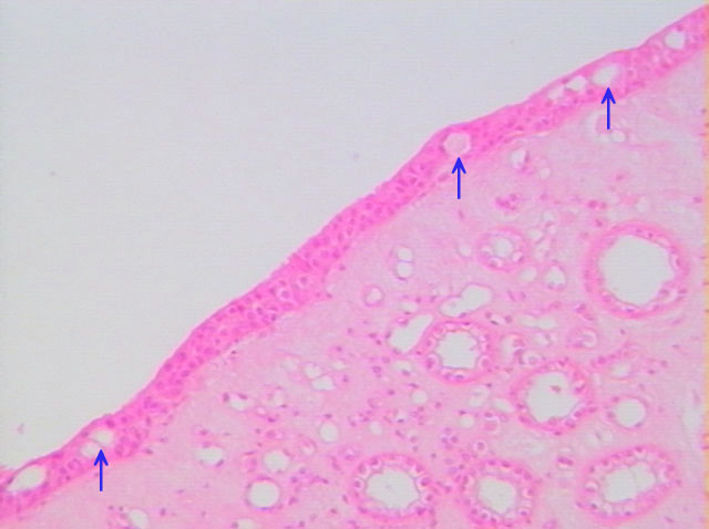
腎盂腔
移形上皮
腎乳凸髓質
 結締組織
 集尿管

切片位置:腎盂(calyx)
切片倍率:100x
染色方式:h&e stain

進一步放大(400x)

進一步放大(100x)之腎盂乳凸部,可見其表面覆蓋之移形上皮及下方之腎乳凸髓質,由結締組織、血管及集尿管等所構成,另外可於移形上皮中觀察到部分集尿管之開口處(箭頭處)。