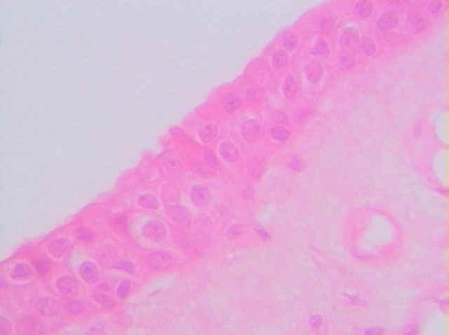
腎盂腔
移形上皮
結締組織

切片位置:腎盂(calyx)
切片倍率:400x
染色方式:h&e stain

 

高倍下(400x)向內凸入腎盂之腎髓質乳凸構造,其上皮為移形上皮。