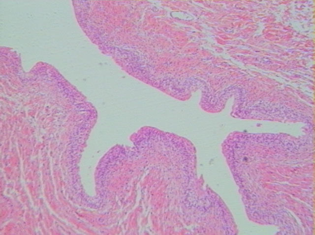
平滑肌層
結締組織
移形上皮
膀胱空腔

切片位置:膀胱(urinary baldder)
切片倍率:40x
染色方式:h&e stain

進一步放大(100x)

低倍放大(40x)之膀胱,當膀胱儲存之尿液排空而呈鬆弛狀態時,其管壁向腔內凸入形成皺褶;但隨著儲存尿液容積之增加,其管壁皺褶也隨容積增加時表面積之擴張而逐漸被撐平。其內層由移形上皮所覆蓋,上皮下方為結締組織。結締組織在內層緊鄰上皮部分為緻密不規則之結締組織,在結締組織內含多量之彈性纖維,而較外層靠近平滑肌肌肉層部份則為疏鬆結締組織。