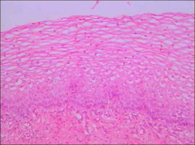
陰道腔
複層鱗狀上皮
(無角質化)

切片位置:陰道(vagina)
切片倍率:100x
染色方式:h&e stain

進一步放大(400x)-表層
進一步放大(400x)-底層

陰道由複層鱗狀上皮所覆蓋,其表層之細胞無角質化現象,且無線體之分布。底層細胞為立方形細胞,細胞核呈圓形;越靠近表層之細胞,則其細胞形態也越趨於扁平,而細胞核漸漸濃縮而越來越小,甚至消失。