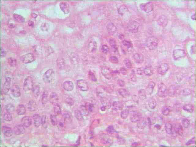
複層鱗狀上皮
之底層
結締組織

切片位置:陰道(vagina)
切片倍率:400x
染色方式:h&e stain

 

高倍下之陰道複層鱗狀上皮底層,細胞呈立方至矮柱狀,細胞核呈圓形。由基底層向表層接近,則細胞形態越趨於扁平。