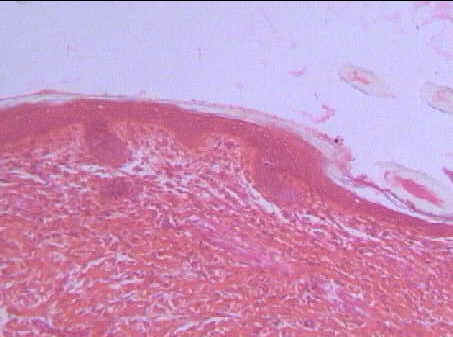
表皮層:
 角質化複層
 鱗狀上皮
真皮層:
 乳凸層:
  疏鬆結締組織
 網狀層:
  緻密不規則
  結締組織

切片位置:皮膚 (thin skin)
切片倍率:100x
染色方式:h&e stain

進一步放大(400x)

低倍下(100x)之薄皮膚切片,其表皮層由角質化複層鱗狀上皮所組成,而真皮層則分為乳凸層與網狀層。乳凸層部份為疏鬆結締組織,而網狀層則為緻密不規則結締組織所構成。