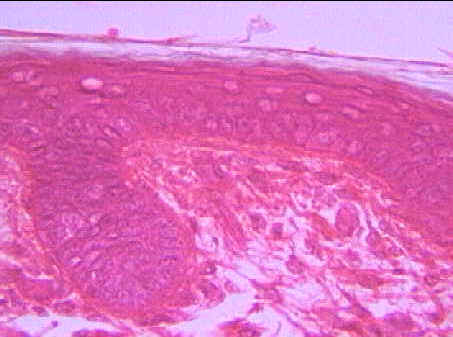
表皮層:
 角質化複層
 鱗狀上皮
真皮乳凸層:
 疏鬆結締組織

切片位置:皮膚 (thin skin)
切片倍率:400x
染色方式:h&e stain

 

高倍下(400x)之薄皮膚,可見表皮由角質化複層鱗狀上皮所構成,其皮膚之基底層細胞以明顯之基底膜與下方結締組織結合。