上顎結締組織
上顎上皮
(角質化複層鱗狀)
口腔
舌頭上皮
(角質化複層鱗狀)
舌頭之結締組織
肌肉

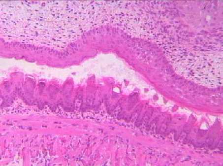
切片位置:口腔 (oral cavity)
切片倍率:100x
染色方式:h&e stain

進一步放大(400x)

低倍下(100x)之口腔切片,可見上顎及舌頭之上皮組織均由角質化複層鱗狀上皮所組成。