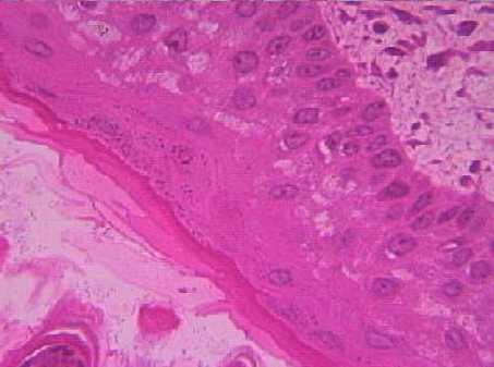
上顎結締組織
上顎上皮
(角質化複層鱗狀)
口腔
舌頭上皮
(角質化複層鱗狀)

切片位置:口腔 (oral cavity)
切片倍率:400x
染色方式:h&e stain

 

高倍下(400x)口腔上顎上皮為複層鱗狀上皮,其最外之數層細胞扁平無核,因角質化而在常規染色(h&e stain)下呈強嗜伊紅性之紅色。