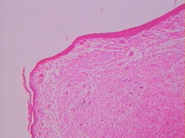
喉腔
前庭
複層鱗狀上皮
結締組織

切片位置:聲帶 (vocal fold)
切片倍率:40x
染色方式:h&e stain

進一步放大(100x)

進一步放大(40x)之聲帶構造,可見聲帶表面為複層鱗狀上皮所覆蓋,其間並無腺體之分布。