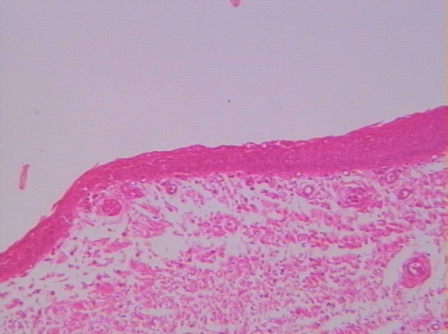
喉腔
複層鱗狀上皮
疏鬆結締組織

切片位置:聲帶 (vocal fold)
切片倍率:100x
染色方式:h&e stain

進一步放大(400x)

在進一步放大(100x)後,可見覆蓋聲帶區域之上皮為複層鱗狀上皮與其下方之疏鬆結締組織。