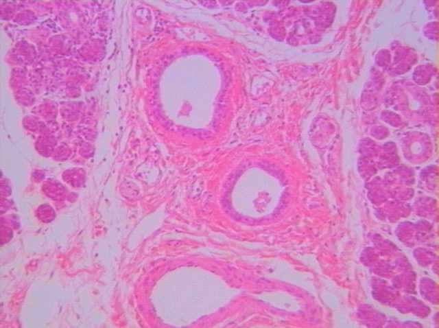
唾腺小葉
結締組織
唾腺小葉間導管
(複層立方上皮)
動脈

切片位置:唾腺(salivary gland)
切片倍率:100x
染色方式:h&e stain

進一步放大(400x)

低倍下(100x)觀察之唾腺組織,其腺體為結締組織分隔稱為小葉。唾腺之分泌物經由小葉內導管輸送匯集至結締組織間之小葉間導管,其導管之上皮組織為複層立方上皮。