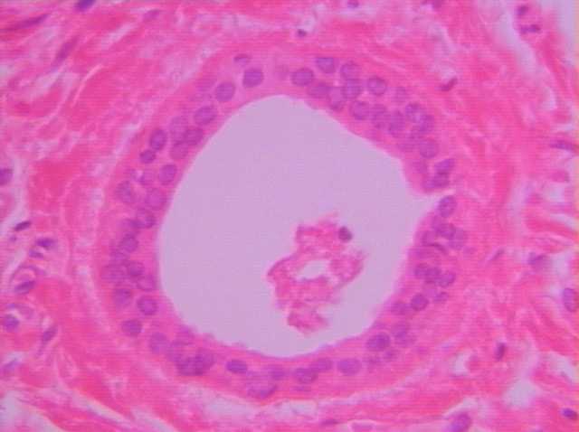
管腔
(內有分泌物)
管壁
(複層立方上皮)
結締組織
(緻密不規則)

切片位置:唾腺(salivary gland)
切片倍率:400x
染色方式:h&e stain

 

高倍下(400x)之唾腺小葉間導管,位於緻密不規則結締組織之間,其管壁由兩層以上之立方形上皮細胞所組成。