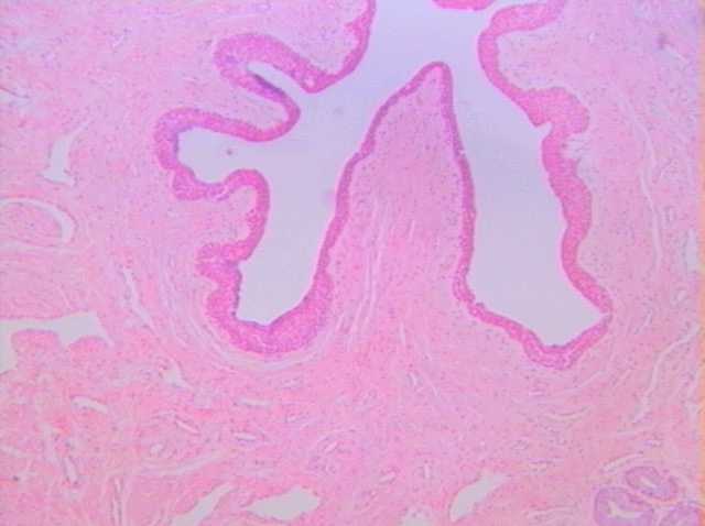
尿道腔
尿道上皮
(複層立方上皮)
尿道海綿體
尿道旁腺

切片位置:雄性尿道(海綿體部前段)
切片倍率:100x
染色方式:h&e stain

進一步放大(400x)

低倍下(100x)之雄性海綿體部尿道切片,位置在海綿體部之前段。此區域之上皮組織位於由接續之前尿路系統的移形上皮轉換而成與尿道開口處之體表複層鱗狀上皮之過渡性區域,因而呈現複層立方狀。