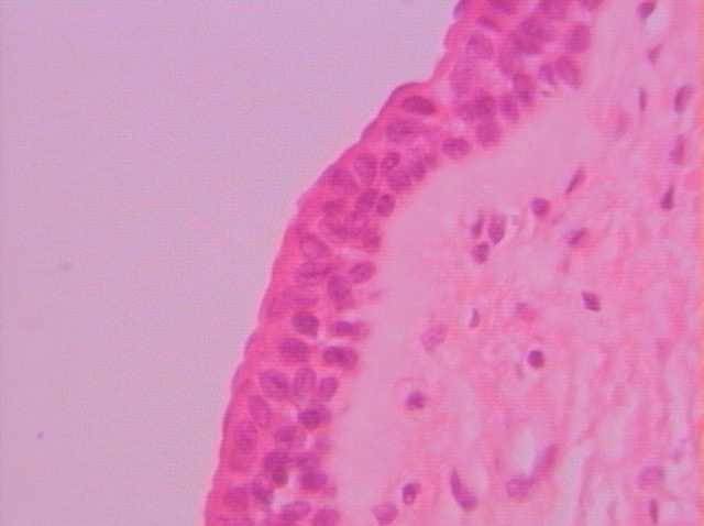
尿道腔
複層立方上皮
結締組織

切片位置:雄性尿道
切片倍率:400x
染色方式:h&e stain

 

高倍下(400x)之雄性海綿體部尿道,可見其尿道之管壁由兩層以上之立方形上皮細胞所構成之複層立方上皮。