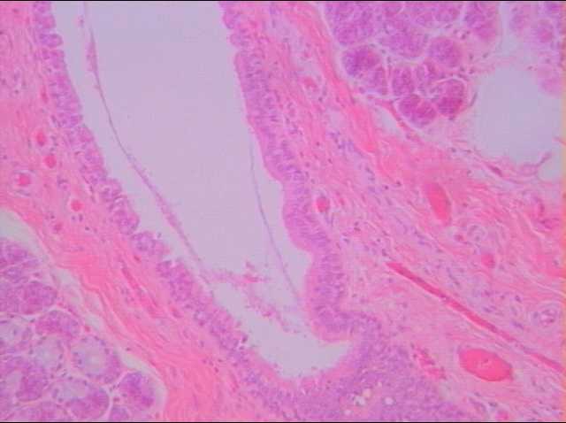
唾腺主輸出導管
(複層柱狀上皮)
結締組織
唾腺腺泡
(混合形)

切片位置:唾腺主輸出導管
切片倍率:100x
染色方式:h&e stain

進一步放大(400x)

本切片之位置為唾腺之輸出導管部分(100x),位於小葉間結締組織。由唾腺腺泡所分泌之唾液,經小葉內導管(單層立方至單層柱狀上皮)再吸收及分泌後,送到輸出導管以輸送至口腔(複層鱗狀上皮)。故於此區段之導管上皮中,可觀察到由單層柱狀上皮過渡至複層鱗狀上皮時,所形成之複層柱狀上皮構造。