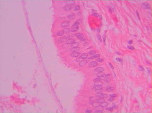
唾腺管主輸出導腔
複層柱狀上皮
結締組織

切片位置:唾腺主輸出導管
切片倍率:400x
染色方式:h&e stain

 

此為唾腺管之複層柱狀上皮(400x),位於主輸出導管的部分,為連接原本唾腺管之單層柱狀上皮與口腔複層鱗狀上皮之過度區域上皮。