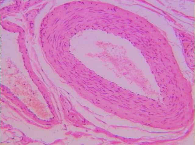
動脈 (artery)
靜脈 (vein)
結締組織
(connective tissue)

切片位置:動脈及靜脈
切片倍率:100x
染色方式:h&e stain

進一步放大(400x)

心血管系統之管腔內徑所覆蓋之皮膜組織為單層鱗狀,胚胎分化時期由中胚層細胞發育形成。因獨自封閉於管腔內側面,一般稱之為內皮組織 (endothelium)。

進一步放大 vein artery 結締組織