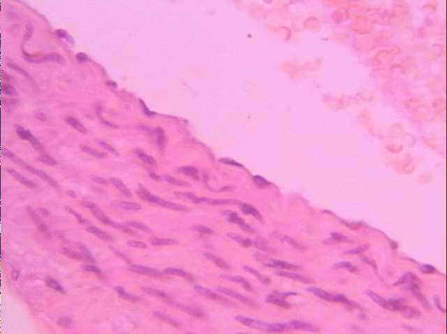
血管管腔
血管內皮
(單層鱗狀上皮)
血管壁肌肉層
血管壁外膜

切片位置:動脈管壁
切片倍率:400x
染色方式:h&e stain

 

此為動脈管壁,其血管腔內尚存有部分血球。管腔與管壁間由單層鱗狀的內皮細胞所區隔,動脈管壁具有較厚的肌肉層,由平滑肌所組成。

connective tissue blood vessel wall(smooth muscle) blood vessel cavity simple squamous epithelium