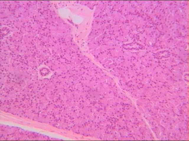
唾腺腺泡
(單層立方上皮)
唾腺分泌導管
(單層立方上皮)

切片位置:唾腺(腮腺)(parotid gland)
切片倍率:100x
染色方式:h&e stain

進一步放大(400x)

此為腮線之組織切片,低倍觀察時可見由結締組織將腮腺區分為小區塊,稱為小葉。其小葉內主要構造為分泌唾液的腺泡及輸送分泌物的分泌管。