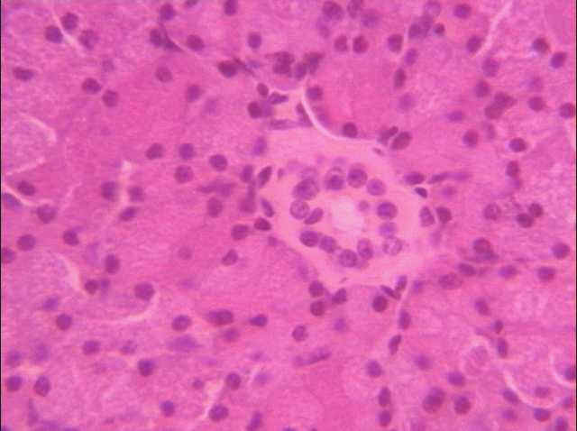
唾腺腺泡
(單層立方上皮)
唾腺分泌導管
(單層立方上皮)

切片位置:唾腺(腮腺)(parotid gland)
切片倍率:400x
染色方式:h&e stain

 

腮線為漿液腺,其腺泡及分泌導管均為單層立方上皮所構成。腺泡細胞之細胞質在常規染色下成紫色,其細胞核成卵圓形或橢圓形,位於細胞之底部;分泌導管細胞之細胞質在常規染色下成淡粉紅色,其細胞核成圓形,位於細胞中央。