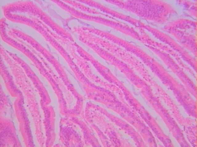
小腸腔
小腸絨毛
 小腸上皮
 (單層柱狀上皮)
 疏鬆結締組織

切片位置:小腸
切片倍率:100x
染色方式:h&e stain

進一步放大(400x)

小腸黏膜在低倍(100x)下可見小腸絨毛向管腔內突起,其上皮細胞為單層柱狀,其內為疏鬆結締組織。