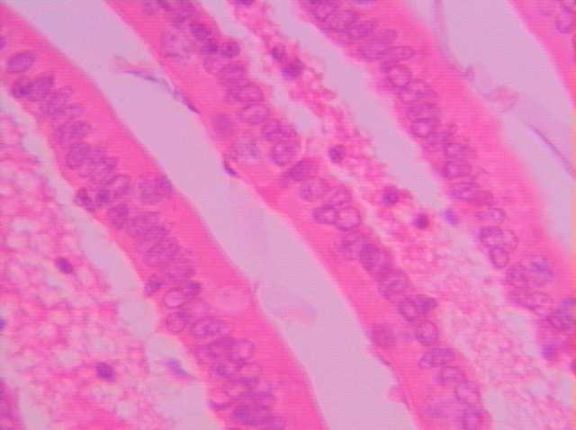
小腸腔
小腸絨毛
 小腸上皮
 (單層柱狀上皮)
 疏鬆結締組織

切片位置:小腸
切片倍率:400x
染色方式:h&e stain

 

在高倍(400x)放大下,可見單層柱狀的小腸上皮,細胞核呈圓形,位於細胞之底部。同時可在上皮細胞間發現單細胞黏液腺體-杯狀細胞(goblet cell),其細胞上半因堆積黏液分泌物,常規染色觀察時呈空泡狀。