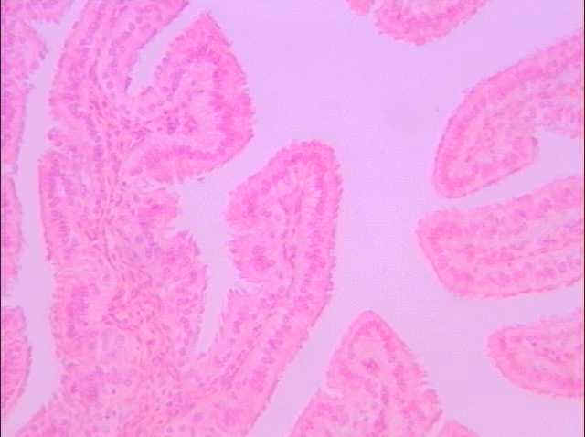
輸卵管腔
縱向皺摺
 柱狀纖毛上皮
 結締組織

切片位置:輸卵管(oviduct)
切片倍率:100x
染色方式:h&e stain

進一步放大(400x)

此為輸卵管組織之橫切,可見輸卵管組織向內突出之縱向皺褶構造,縱向皺褶包含上皮組織及其下方之結締組織,輸卵管上皮為單層柱狀纖毛上皮。