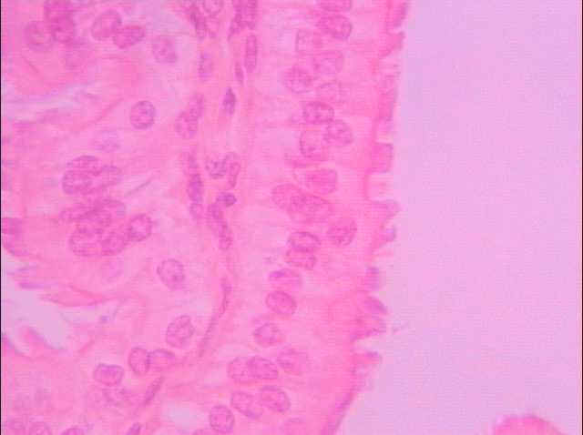
輸卵管腔
柱狀纖毛上皮
結締組織

切片位置:輸卵管(oviduct)
切片倍率:400x
染色方式:h&e stain

 

此為輸卵管縱向皺褶之局部放大(400x),可見其上皮之形態為單層之柱狀、有纖毛。細胞核成圓形至卵圓形,規則排列於細胞中央。