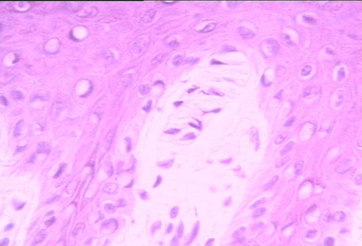
meissner's corpuscle
(觸覺接受器)

切片位置:手掌皮膚
切片倍率:400x
染色方式:h&e stain

 

高倍率(400x)放大之meissner's corpuscle,可見其位於真皮乳突(dermal papilla)之囊狀接受小體中許旺氏細胞(schwann cells)呈現水平之鋸齒狀排列。