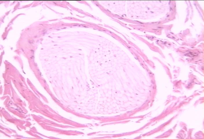
神經纖維

(nerve fibers)

切片位置:神經 (nerve)
切片倍率:100x
染色方式:h&e stain

進一步放大(400x)

中倍率 (100x) 下常規染色之神經橫切,可見外圍有結締組織 (endoneurium) 而排列呈束狀之神經纖維 (nerve fibers)。神經纖維一般呈現淡染色,其間之細胞核j為許旺氏細胞 (schwann cells) 之細胞核。