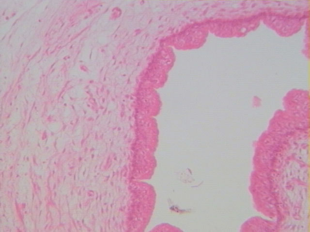
黏液結締組織
移形上皮
尿膜腔

切片位置:尿膜(allantois)
切片倍率:100x
染色方式:h&e stain

進一步放大(400x)

在進一步放大(100x)後之尿膜構造,其上皮組織為移形上皮,而管壁結締組織與周圍之黏液結締組織類似,但較為緻密。