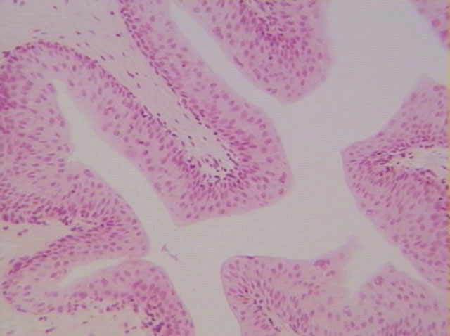
結締組織
移形上皮
輸尿管腔

切片位置:輸尿管(ureter)
切片倍率:100x
染色方式:h&e stain

進一步放大(400x)

進一步放大(100x)之輸尿管移形上皮與結締組織,其移形上皮之底層細胞具有較高之細胞密度,而表層細胞則細胞密度較低。