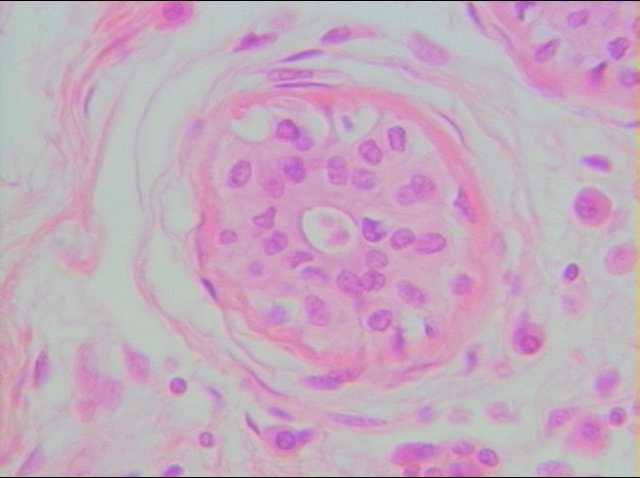
汗腺導管
(複層立方上皮)
疏鬆結締組織

切片位置:汗腺導管
切片倍率:400x
染色方式:h&e stain

 

高倍下(400x)之汗腺導管,可見其管壁由兩層之立方形之上皮細胞所構成,故為複層立方上皮。