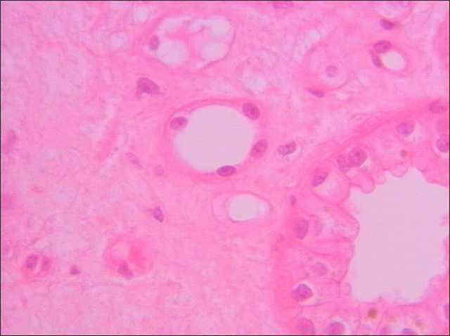
亨氏套細支
(單層鱗狀上皮)
集尿管
(單層矮柱狀上皮)
血管
結締組織

切片位置:腎臟髓質
切片倍率:400x
染色方式:h&e stain

 

此切片來自腎臟之髓質,一般可見腎小管之直管部與亨氏套部、集尿管、血管及結締組織等構造。亨氏套細支之管壁細胞呈扁平狀;腎小管之直管部分因相鄰細胞之細胞膜彼此形成皺褶嵌合,故細胞界線不明;而集尿管管壁相鄰細胞並未以皺褶方式結合,故細胞界線明顯。