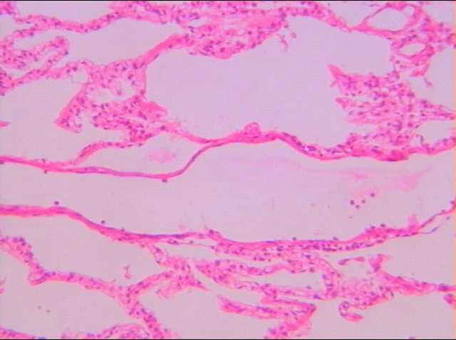
肺泡壁
肺泡腔

切片位置:肺臟(lung)
切片倍率:100x
染色方式:h&e stain

進一步放大(400x)

此切片切自肺部組織,可見肺泡及肺泡腔。