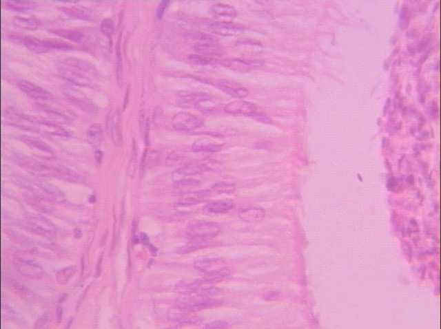
副睪管腔
精子
副睪上皮
(偽複層柱狀
纖毛上皮)
平滑肌

切片位置:副睪(epididymis)
切片倍率:400x
染色方式:h&e stain

 

高倍下(400x)之副睪管,可見其呈高柱狀之上皮細胞,細胞核位於不同位置,且在其自由面有靜纖毛(stereocilia),故屬偽複層柱狀纖毛上皮。副睪管外有平滑肌細胞之圍繞,以協助管腔內精子之運送。