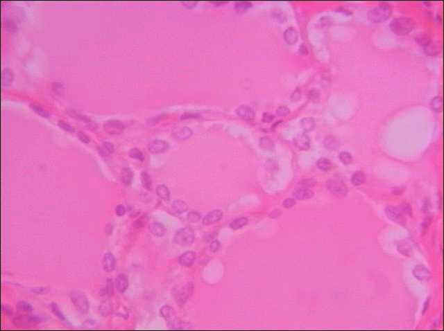
甲狀腺濾泡細胞
(單層立方上皮)
(thyroid follicullar cell)
甲狀腺膠體
(thyroid colloid)

切片位置:甲狀腺
切片倍率:400x
染色方式:h&e stain

 

由單層立方上皮圍成之甲狀腺濾泡(thyroid follicle),其內所含呈嗜酸性染色物質稱為甲狀腺膠體(colloid),為甲狀腺儲存甲狀腺球蛋白(thyroglobulmin)的位置。