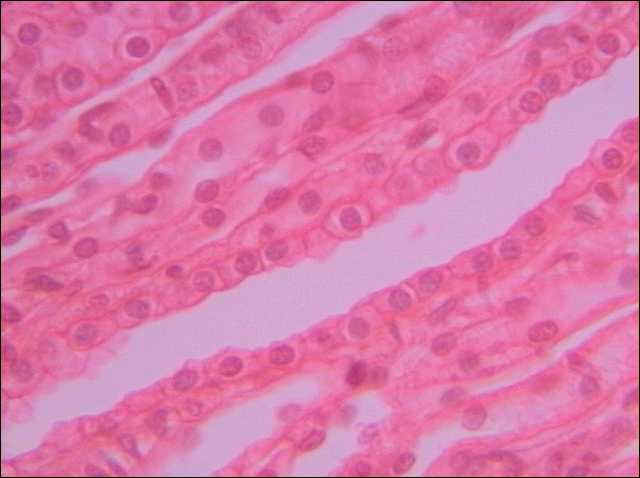
集尿管
(單層立方上皮)
結締組織

切片位置:腎臟髓質
切片倍率:400x
染色方式:h&e stain

 

本切片組織位置為腎臟髓質,其中央斜行之管狀構造為集尿管,其由典型的單層立方上皮所構成,細胞核成圓形,位於細胞中央。