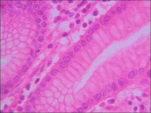
胃黏液細胞
(單層柱狀上皮)
黏膜結締組織

切片位置:胃
切片倍率:400x
染色方式:h&e stain

 

高倍(400x)下胃小凹開口附近,可見其上皮組織為單層柱狀,細胞核呈圓形,位於細胞之底部。細胞上半部因堆積黏液分泌物,在常規組織染色的切片中呈淡染。