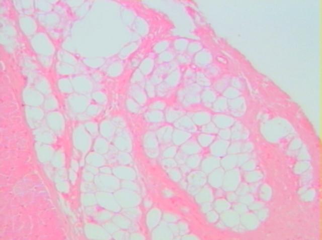
脂肪組織
結締組織
肌肉組織

切片位置:褐色脂肪組織
切片倍率:100x
染色方式:h&e stain

進一步放大(400x)